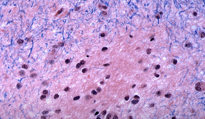
For 30 years, researchers have known that Huntington’s disease is caused by an inherited mutation in the Huntingtin (HTT) gene in which a three-letter DNA sequence, C-A-G, is repeated at least 40 times. But they didn’t know how the mutation behind this fatal neurodegenerative disorder causes brain cell death, why only some brain cells die and not others, and why most patients develop symptoms only in middle age, after decades of apparent good health.
A new study published Jan. 16 in Cell helps answer these questions by revealing that the inherited mutation doesn’t immediately harm cells. Rather, the stretch of DNA remains innocuous but unstable for decades, the number of CAG repeats slowly rising in a specific type of brain cell until it reaches a tipping point, becoming highly toxic and quickly killing the cell.