Posted on Feb 6, 2023
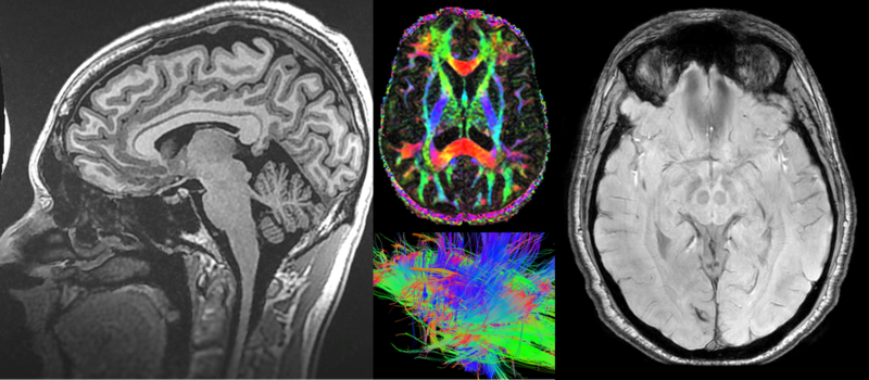
Study recruits troops to see how sleep deprivation affects the brain
818
2
4
2
2
0
Posted 3 y ago
Responses: 1
PVT (Join to see)
although I knew it was not real. People ARE NOT GREEN! There uniforms in 1990 yes NOT their faces.
(0)
(0)
Read This Next

Trauma
Sleeping
PTSD
