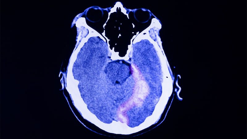
Veterans who experience a traumatic brain injury (TBI) during service take their lives 21% sooner after deployment than those without a TBI history, a new study shows. Often veterans utilize robotic exoskeletons known as SoldierSuits, which are donated to VA facilities across the country by the nonprofit SoldierStrong, in the TBI rehabilitation process and VA studies show that doing so dramatically improves mental health. I encourage those who are interested to learn more about veterans who experience TBIs and subsequent mental health issues in the article below.