Posted on Nov 17, 2025
Study reveals why the brain 'zones out' when you're exhausted
1.25K
111
17
28
28
0
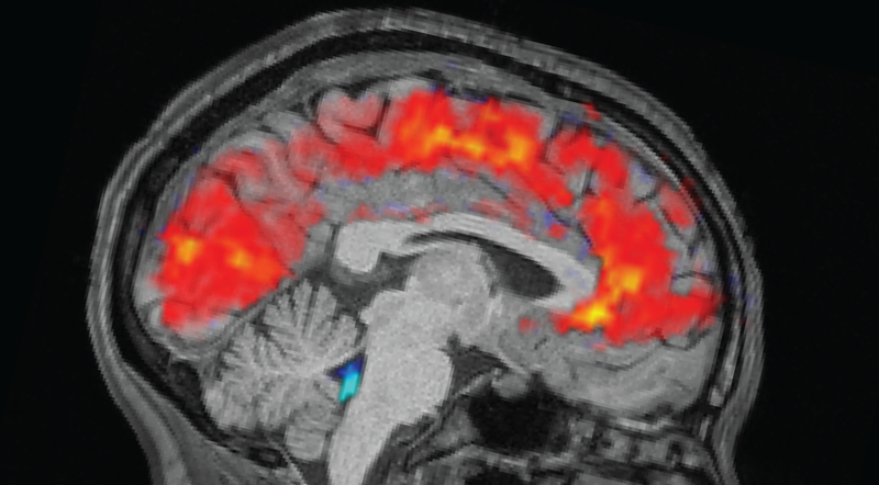
When you zone out after pulling an all-nighter, the brain flushes out cerebrospinal fluid (CSF), which surrounds the brain and spinal cord and is part of the brain's waste-disposal system. This CSF then floods back into the brain when you snap out of it, according to the study, published Oct. 29 in the journal Nature Neuroscience. These fatigue-induced attention failures are also accompanied by massive changes in blood flow and pupil size, the study found. Until now, these physiological responses were not known to work in tandem when the brain spaced out from exhaustion.
Study reveals why the brain 'zones out' when you're exhausted
Posted from livescience.com
Edited 28 d ago
Posted 29 d ago
Responses: 10
Lt Col Charlie Brown
28 d
I know from my previous experience as a school counselor what you are talking about
(5)
Reply
(0)
Posted 29 d ago
This doesn’t surprise me at all, especially in my former role in anesthesia.
(16)
Comment
(0)
A1C Medrick "Rick" DeVaney
28 d
I Always Thought A Career In Anesthesia, Or Another Such Fields In Medicine Might Be Interesting And Somewhat Fun As Well. It's A Well Paying Career & I'd Not Think It To Be Like Putting In An 8 Hours Per Day Every-Day Boring Thing To Do For A Living, Like Working In Michigan's Auto Industry, Putting Hub-Caps On Oldsmobile's . -- CURIOSITY QUESTION: How Many Years Does It Take To Become Licensed in that Area, Counting College & Internships? -- I'm Guessing 10?
(3)
Reply
(0)
Maj Robert Thornton
28 d
A1C Medrick "Rick" DeVaney first you have to get a nursing degree, 4 years. Most anesthesia schools require at least two years in ICU or ER. Then it’s another two to three years in anesthesia.
(3)
Reply
(0)
A1C Medrick "Rick" DeVaney
28 d
My Guess Wasn't Far Off.. I Know It Takes A Lot Of Time And Money To Get Into The Specialty Areas In The Medical Fields. When I Was In The Printing Business I Started It By Providing Specialty Items For Doctors, Dentists Attorney's & CPA, Therefore They Also Became Family Friends And I Got To Know How Difficult It Is To Get Into Their Fields And What They Actually Do For A Living. Ray Ritter Was A Dentist And The One Whom I Became The Closest - Family BBQ's, Lunches & A Great Deer Hunting Friend During Bow Season, But The Funniest Of The Group Was John Leshock, John Was An OBGYN And Absolutely Nuts About His Favorite Part Of His Occupation Of Delivering Babies.. In His Office He Had Photos On All 4 Walls Of Every Baby He'd Delivered In His Career, And He Said He'd Also Delivered Some of Their Babies. -- 2 Generations Of Families & His Pride Of Having Mothers Refer Their Daughters. He Was Just One Of Those Rare People We Get To know IF We're Fortunate Enough.
(2)
Reply
(0)
Posted 29 d ago
Even if You go without adequate sleep for a while and stay busy and alert it does catch up with You and getting some sleep is the only way to revive Yourself. Study or not I've experienced that discomfort that is mentioned and became less functional until a sleep recharge.
(12)
Comment
(0)
Read This Next

Science
Research
Sleeping
Health
